Esteetiline hambaravi
Kaasaegses maailmas on selline meditsiiniharu nagu esteetiline stomatoloogia. Tänapäeval oskavad hambaarstid mitte ainult hambaid ravida, vaid ka naeratuse visuaalselt ilusaks muuta.
Näiteks:
Esihammaste restauratsioon viiakse läbi, kui on vaja:
- eemaldada hambavahed (diasteem);
- parandada emaili värvi (kaasasündinud kollasuse puhul, pärast vigastust või ebaõnnestunud plommimist);
- korrigeerida hambakrooni kuju (kõrvaldada praod, killud; suurendada hammast pikkusesse või laiusesse);
- muuta visuaalselt hamba asendit (väikeste kõrvalekallete puhul hammaste asendis). Raskete hambumusanomaaliate korral tuleb kõigepealt rakendada ortodontilist ravi.
Esteetilist restauratsiooni on kahte tüüpi: otsene ja kaudne.
Arst määrab sobiva meetodi vastavalt lahendamist vajavatele probleemidele ja kliinilisele pildile.
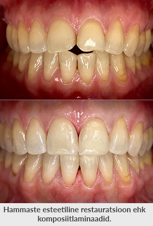
Hammaste esteetiline restauratsioon (otsene) ehk komposiitlaminaadid on üheetapiline meetod hammaste taastamiseks, mille jaoks kasutatakse komposiitmaterjale. Esteetiline restauratsioon toimub mõne tunniga, piisab vaid ühest või kahest visiidist arsti juurde, kasutades komposiitmaterjale. Nende modelleerimise teostab hambaarst suuõõnes.
Hammaste ortopeediline restauratsioon (kaudne) – teostatakse keraamiliste laminaatidega, lumineeridega, kroonidega. Enne paigaldamist lihvitakse hammast veidi, seejärel tehakse sellest jäljend, mille järgi hambatehnik valmistab laboris konstruktsiooni.
Eksisteerib eksiarvamus, et kui lasete endale panna komposiit- või keraamilised laminaadid, kroonid, siis võib need unustada. Tegelikult mitte!
Vastupidi, ravi ja proteesimise edukuse ning restauratsioonide kasutusea määrab just põhjalik hooldus nii kodus kui ka hambakliinikus.
Nendel restauratsioonidel on igemealuse piirkonna hambakudedega kokkupuuteala ning sellesse igeme ja restauratsiooni vahelisesse alasse, aga ka krooni või laminaadi enda pinnale võib koguneda hambakatt, mis võib kaasa tuua negatiivsed tagajärjed.
Hambakatt moodustub biokile kujul – see on erilaadne bakterimass, mis moodustub tervikliku struktuurina (sellel on rakuväline maatriks, mille tõttu see jääb tihedalt kinni hammaste ja ortopeediliste konstruktsioonide külge), mida saab eemaldada ainult mehaaniliselt. See biokile põhjustab pehmete kudede põletikku, mis häirib igeme kontakti restauratsiooni pinnaga ja aitab kaasa igemealuste ladestuste tekkele, mis võib häirida krooni/laminaadi istuvust ja hermeetilisust ning põhjustada kaariese protsessi hambajuure piirkonnas, viia igemete taandumiseni, aga ka põhjustada restauratsiooni värvimuutust ja kaugelearenenud juhtudel selle kaotamist.
Kui tunnete huvi hammaste esteetilise restauratiivse taastamise vastu, siis saate broneerida aega konsultatsioonile meie kliinikute järgmiste arstide juurde:
Laminaadid:
Lasnamäe kliinikus – Irina Solovjova, Jevgeni Kožegatšev, Vladislav Morozov, Oskar-Daniel Remmelg.
Mustamäe kliinikus – Julia Andrejeva, Katrin Väli.
Pelgulinna kliinikus – Julia Kruusenberg, Viktoriya Rudoi.
Broneeri online valides “Esteetilise hambaravi konsultatsioon (laminaadid)”.
Komposiit restauratsioon:
Lasnamäe kliinikus – Oskar-Daniel Remmelg, Martin Arkadjev.
Mustamäe kliinikus – Katrin Väli.
Pelgulinna kliinikus – Julia Kruusenberg, Viktoriya Rudoi.
Broneeri online valides “Esteetilise hambaravi konsultatsioon (täidised)”.
- Üldhambaravi (teraapia)
- Hambaimplantaat
- Hammaste eemaldamine
- Juureravi mikroskoobiga
- Laste Hambaravi
- Parodontiidi ravi
- Proteesimine
- Üldnarkoos
- Esmaabi osutamine
- Keele- ja huulekida plastika
- Ortodontia
- Laserhambaravi
- Müofunktsionaalne teraapia
- Esteetiline hambaravi
- Laminaat
- Esteetiline komposiittäidis
- Professionaalne puhastus
- 2 IN 1 Hammaste puhastus koos valgendusega
- LED valgendus
- Valgendamine kodus
- Üldhambaravi (teraapia)
- Hambaimplantaat
- Hammaste eemaldamine
- Juureravi mikroskoobiga
- Laste Hambaravi
- Parodontiidi ravi
- Proteesimine
- Üldnarkoos
- Esmaabi osutamine
- Keele- ja huulekida plastika
- Ortodontia
- Laserhambaravi
- Müofunktsionaalne teraapia
- Esteetiline hambaravi
- Laminaat
- Esteetiline komposiittäidis
- Professionaalne puhastus
- 2 IN 1 Hammaste puhastus koos valgendusega
- LED valgendus
- Valgendamine kodus




