Эстетическая стоматология
В современном мире существует такой раздел медицины, как эстетическая стоматология. Сегодня стоматологи могут не только лечить зубы, но и сделать улыбку визуально красивой.
Например:
Восстановление передних зубов проводят, если необходимо:
- Убрать межзубные щели (тремы, диастемы).
- Улучшить цвет эмали (при врожденной желтизне, после травмы или неудачного пломбирования).
- Откорректировать форму коронки (устранить трещины, сколы; увеличить в длину или ширину).
- Визуально изменить положение зуба (при небольших аномалиях расположения зубов). При сильных аномалиях прикуса следует изначально пройти ортодонтическое лечение.
Есть 2 вида эстетической реставрации: прямая и непрямая.
Врач определяет подходящий способ в зависимости от проблем, которые нужно решить, и клинической картины.
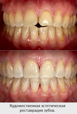
Художественная эстетическая реставрация зубов (прямая) или композитные виниры — это одноэтапный метод восстановления зубов, для которого используются композитные материалы. Терапевтическую художественную реставрацию проводят в течение нескольких часов, достаточно всего одного, двух визитов к врачу, при помощи композитных материалов. Их моделирование производит врач-стоматолог в полости рта.
Ортопедическая реставрация зубов (непрямая) — выполняется керамическими винирами, люминирами, коронками. Перед установкой зуб слегка обтачивается, затем с него снимается слепок, по которому в дальнейшем осуществляет изготовление конструкции в лаборатории зубным техником.
Сегодня существует заблуждение, что если поставили композитные или керамические виниры, коронки, то про них можно забыть. На самом деле нет!
Наоборот, успешность лечения и протезирования, а также срок службы реставраций определяются именно тщательным уходом как в домашних условиях, так и в стоматологической клинике.
Эти реставрации имеют область контакта с тканями зуба в поддесневой области, и в этом пространстве между десной и реставрацией, а так же на поверхности самой коронки или винира может скапливаться зубной налет, что может привести к негативным последствиям.
Зубной налет формируется в виде биопленки — это разнородная бактериальная масса, которая организуется как цельная структура (имеет внеклеточный матрикс, за счет которого плотно прикрепляется к зубам и к ортопедическим конструкциям), которую можно удалить только механическим путем. Эта биопленка приводит к воспалению мягких тканей, что нарушает прилегание десны к поверхности реставрации и способствует образованию поддесневых зубных отложений, которые могут нарушать краевое прилегание и герметичность коронки/винира и вызывать кариозный процесс в области корня зуба, привести к появлению рецессий десны, а также к изменению цвета реставрации, а в запущенных случаях и ее потере.
Если вас заинтересовала тема эстетической реставрации зубов, то записаться на консультацию можно онлайн к следующим докторам:
Виниры:
В клинике в Ласнамяэ — Ирина Соловьёва, Евгений Кожегачев, Владислав Морозов, Оскар-Даниэль Реммелг.
В клинике в Мустамяэ — Юлия Андреева, Катрин Вяли.
В клинике в Пельгулинн — Юлия Крузенберг, Виктория Рудой.
При регистрации выбирайте услугу «Консультация по эстетической стоматологии (виниры)».
Композиты:
В клинике в Ласнамяэ — Оскар-Даниэль Реммелг, Мартин Аркадьев.
В клинике в Мустамяэ — Катрин Вяли.
В клинике в Пельгулинн — Юлия Крузенберг, Виктория Рудой.
При регистрации выбирайте услугу «Консультация по эстетической стоматологии (пломбы)».
- Терапия (Общая стоматология)
- Имплантация
- Удаление зубов
- Лечение каналов под микроскопом
- Детская стоматология
- Лечение пародонтита
- Протезирование
- Общий наркоз
- Первая помощь
- Пластика уздечки языка и губы
- Ортодонтия
- Лазерная стоматология
- Миофункциональная терапия
- Эстетическая стоматология
- Виниры
- Композитная реставрация зубов
- Профессиональная чистка
- 2 в 1 Чистка зубов плюс отбеливание
- LED отбеливание
- Домашнее отбеливание
- Терапия (Общая стоматология)
- Имплантация
- Удаление зубов
- Лечение каналов под микроскопом
- Детская стоматология
- Лечение пародонтита
- Протезирование
- Общий наркоз
- Первая помощь
- Пластика уздечки языка и губы
- Ортодонтия
- Лазерная стоматология
- Миофункциональная терапия
- Эстетическая стоматология
- Виниры
- Композитная реставрация зубов
- Профессиональная чистка
- 2 в 1 Чистка зубов плюс отбеливание
- LED отбеливание
- Домашнее отбеливание







